About The Practice
Dr. Holyoak strives to provide the highest level of care to all of our patients. We have incorporated some of the most advanced technologies into our practice to ensure our patients' continued oral health. We also accept most dental insurance plans.
39 Years of Experience
Robert S. Holyoak, DMD, PC, believes in providing comprehensive dental care with honesty and integrity. Under his care, you will never be pressured to choose a procedure that you do not want or need. After a complete exam and consultation, Dr. Holyoak will make an expert recommendation and help you make an informed decision about your care. We offer comprehensive care to meet all your general, restorative, and cosmetic dentistry needs. Our long-tenured team treats patients of all ages, and we are especially adept at treating the many seniors who live in the community. If you need to establish care with a skilled and compassionate dentist, schedule a consultation at our Peoria, AZ, office today.
Our Honest Approach to Dental Care
At our office, your health and comfort are our top priorities. We want you to feel confident about your upcoming treatment, knowing that you will experience substantial benefits and lasting results. Before any procedure, Dr. Holyoak will schedule a consultation. After examining your smile and discussing your treatment goals, he will recommend several options whenever possible. After all, its your teeth, your smile and your oral health that you’re trusting us with. He will also consider your budget, lifestyle, and personal preferences. Dr. Holyoak is unfailingly honest, and he has a conservative attitude towards dentistry. He will only suggest treatments that are in your best interests, and he will never pressure you into choosing unnecessary care. His treatments are dictated by your needs and wants, not those procedures directed by large corporations.
“Dr. Holyoak is unfailingly honest, and he has a conservative attitude towards dentistry.”
Integrity
Long-Term Care for Our Community
Our practice has served the community since 1975, and three of our team members have been here for over 35 years. Thanks to our outstanding care, we have a number of loyal patients who have come to us routinely over the years. We are conveniently located on the Southwest corner of Thunderbird and 94th Drive. Our office is easily accessible and has plenty of free parking on-site.
We are open 6:30 a.m. to 3 p.m. Monday through Thursday, and 6:30 a.m. to noon on Fridays. We also save time for your emergencies.
Welcoming
Welcoming
Dental Procedures
We provide comprehensive services to enhance the health, comfort, and appearance of your smile.
Dr. Holyoak's Services
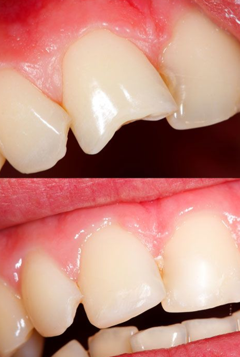
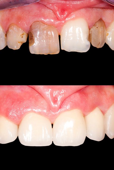
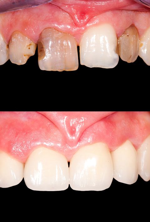
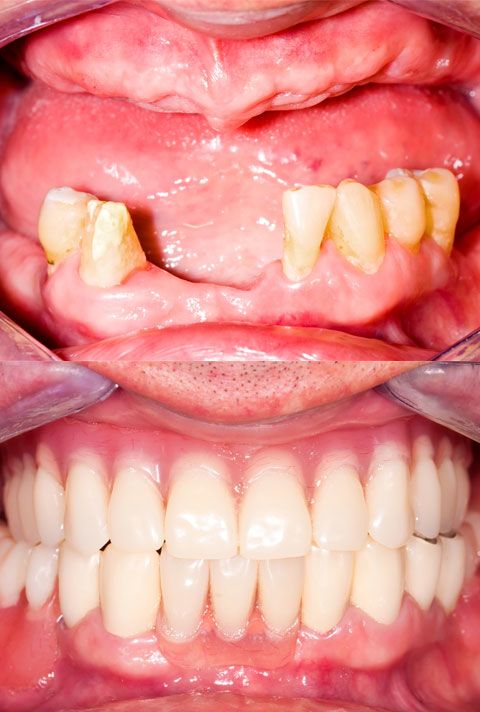
Dr. Holyoak offers numerous restorative treatments, including porcelain crowns, bridges, and dentures. Whenever possible, he recommends dental implants because they offer the ultimate support for dental restorations, and are the only treatment that can halt jaw atrophy following tooth loss. Dr. Holyoak will refer you to an oral surgeon who can place the implants. Once your implants are in place, Dr. Holyoak will design and attach your custom restoration.
Dr. Holyoak also offers a full array of general dentistry treatments. Of course, routine cleanings are an indispensable part of oral health, and you should visit us at least twice a year for a healthy, sparkling smile. Other treatments include sealants, fillings, nightguards, and care for TMJ disorder.
“Our sincere and honest approach to dentistry will keep you comfortable before, during and after your visit.”
Aesthetics
Recognized Excellence
Dr. Holyoak attended Brigham Young University before completing his post-graduate dental studies at the University of Oregon. Go Ducks!




Schedule an Appointment Today
You deserve to receive outstanding care from an honest, skilled practitioner. Dr. Holyoak believes in making exceptional dental care affordable, and offers financing options to help you place the care you need comfortably within your budget. Contact Dr. Holyoak’s office to book an appointment.ContactOur Practice
Our ConvenientLocation
9431 W Thunderbird Rd
Ste 2
Peoria,
AZ 85381