Porcelain crowns provided at our Peoria, AZ, practice can restore or replace teeth, providing improved function, comfort, and aesthetics. Porcelain crowns are not only much stronger and more attractive than veneers, but can also repair and protect teeth following treatment for damage or decay. These tooth-shaped caps fit over your teeth or a dental implant. Made from impressions of your teeth, they will fit precisely and maintain your bite alignment.

We offer crowns made from several types of advanced porcelain, including IPS e.max®, Empress®, and LavaTM. Robert S. Holyoak, DMD, PC, will discuss your needs and goals to help you choose the most appropriate type of crown for your needs. We invite you to contact us today and schedule a consultation.
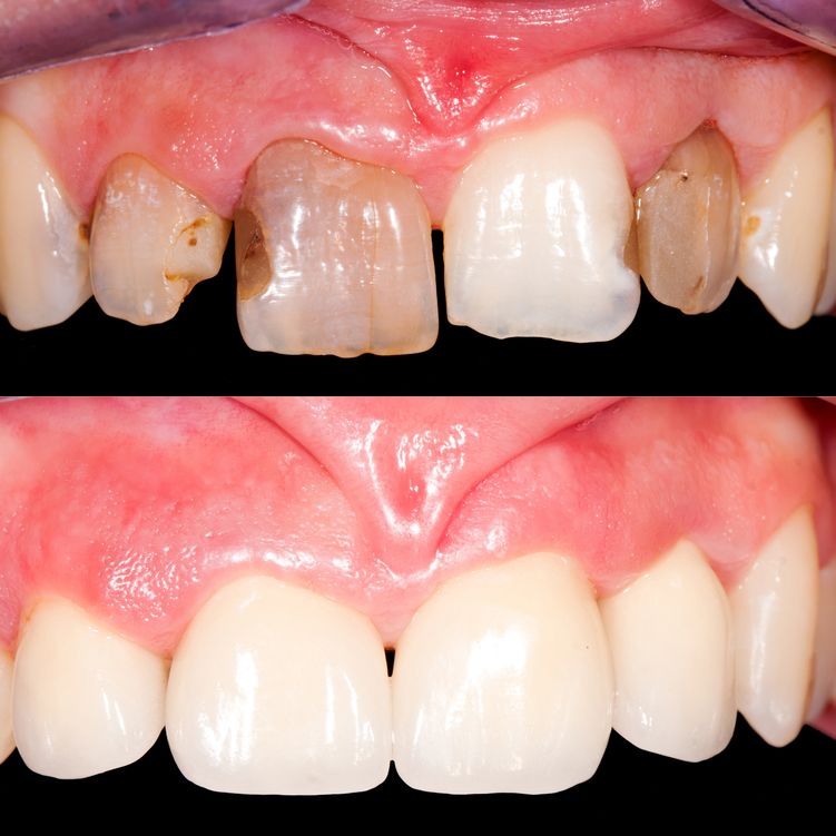
What Are Porcelain Crowns?
Crowns (sometimes called caps) completely cover damaged teeth to the gum line. All of our restorations are carefully crafted for a comfortable and secure fit. Following treatment of a compromised tooth, Dr. Holyoak will reshape it to accommodate a crown before taking impressions. He will send these impressions to our lab, where technicians will create your custom crown. Our lab makes crowns from several advanced materials:
- IPS e.max®: e.max is a form of lithium disilicate. Your crown will be made of several layers of this material, pressed together to achieve natural-looking aesthetics and strength.
- Empress®: Empress® is similar to e.max®, but this material may be more appropriate if you are going to receive a crown on a front tooth.
- LavaTM: LavaTMcrowns have a slight translucency, which gives them a natural sparkle. This material is virtually indistinguishable from natural teeth.
Each of these materials comes in a range of colors, and your treatment team will choose the shade that matches your smile.
How Porcelain Crowns Benefit Your Smile
Crowns by Dr. Holyoak can serve several purposes:
- Repairing a cracked tooth
- Strengthening a weakened tooth following root canal therapy
- Supporting a dental bridge
- Broken and missing teeth
In some cases, Dr. Holyoak may suggest a crown for aesthetic purposes. For example, if you have a severely stained or irregularly shaped tooth, a crown can improve the look of the tooth and complement your entire smile.
Porcelain versus Metal Restorations
Metal crowns are effective, but porcelain offers a number of advantages. Most noticeably, porcelain is highly lifelike, so your crown will blend beautifully with your smile. Meanwhile, porcelain bonds more securely with teeth. Porcelain is also a more conservative option because it typically requires less alteration of the tooth.
Schedule a Consultation
If you are suffering with advanced decay or dental trauma, or if you have lost a tooth, you can depend on Dr. Holyoak and his compassionate team to fully restore the health, function, and appearance of your smile. To learn more about porcelain crowns and their many benefits, contact Dr. Holyoak today. Following an in-depth consultation and evaluation of your smile, Dr. Holyoak will determine if a crown is right for you, and fully explain your treatment options.
Message
Our Staff
Visit
Our Office
Ste 2
Peoria, AZ 85381
Open Today 6:30am - 3:00pm